最新信息
当前位置: 首页 > 教学科研 > 正文

渝东北首例!!!耳鼻咽喉头颈外科成功完成一例鼻内镜下经鼻前颅底肿瘤切除术

发布人: 发布日期:2024/10/15 来源: 浏览:次 字号:



 

 

近日,我院耳鼻咽喉头颈外科团队为一名筛窦肿瘤侵犯前颅底以及眼眶的患者实施了鼻内镜下前颅底肿瘤切除术。这是渝东北片区首例经鼻内镜前颅底肿瘤切除术,该手术的成功实施有效的解决患者鼻部及头部症状并防止肿瘤进一步生长破坏正常组织引起颅内并发症。同时也标志着我院耳鼻咽喉头颈外科团队的实力又迈上了新台阶。

 

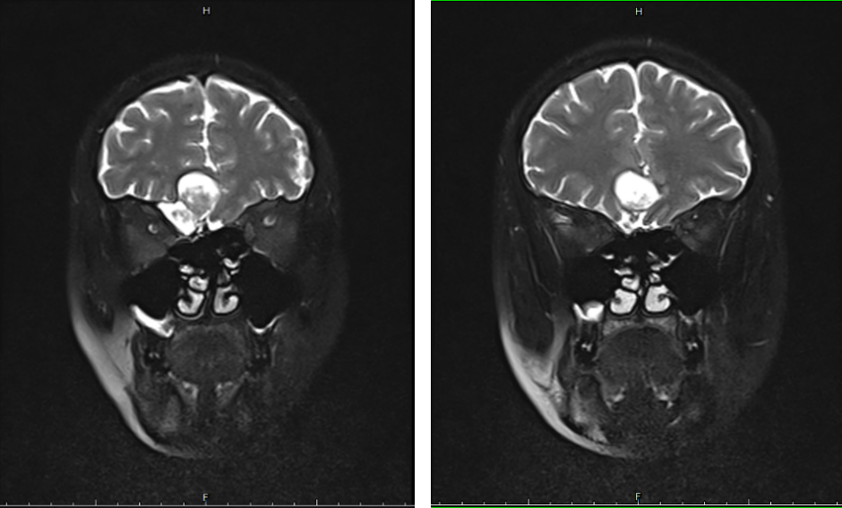
患者因鼻塞、头昏、头痛10余年,并伴有右眼不适感,多次到各级医院就诊,药物治疗效果较差,症状反复发作,逐渐加重。多方打听后来到我院耳鼻咽喉头颈外科就诊,经CT检查后发现右侧筛窦长有一直径约2.5cm大小的肿物,侵犯前颅底以及右侧眼眶,通过科室内部讨论以及全院多学科会诊,考虑为筛窦粘液囊肿侵犯前颅底以及眼眶可能性较大,决定通过鼻内镜下切除筛窦及前颅底肿瘤以改善症状,防止肿瘤继续生长,导致颅内、眶内并发症出现。

颅底肿瘤是指发生于颅底的一系列原发或继发肿瘤的统称,包括颅底骨质、颅底骨上下及脑底,因此颅底肿瘤多种多样。而颅底肿瘤多数位置深,且周围重要结构多,如:颈内动脉,视交叉,动眼神经,海绵窦等,尤其是对于肿瘤体积大、累及周围结构者,传统开颅手术难度大,创伤大、风险高,术后恢复慢,并发症多。

 

相比之传统手术,内镜手术创伤小、时间短,操作精确,患者痛苦轻,术后恢复快。通过手术,可以切除鼻内肿物,达到通畅鼻腔、根治疾病的目的。在耳鼻咽喉头颈外科黄世斌主任带领下,团队采取经鼻内镜下前颅底肿瘤切除术,成功切除了筛窦、前颅底肿瘤,且术中及术后均未出现脑脊液鼻漏、眶内损伤等并发症,手术顺利,术后恢复良好,患者顺利出院。


耳鼻咽喉头颈外科

耳鼻咽喉头颈外科是集医疗、教学、科研、预防为一体的专业学科,擅长耳、鼻、咽喉及头颈区域等疾病。科室拥有高级职称3人,中级职称3人,科室成员共主持及参与多项厅局级课题,核心二级以上期刊发表专业论文10余篇,获国家实用新型专利4项。

科室常规耳显微外科、耳内镜微创外科、鼻窦炎鼻息肉的功能性内镜鼻窦手术、鼻窦-鼻颅底肿瘤、咽喉头颈肿瘤手术。主要包括:中耳炎或鼓膜穿孔的耳内镜下微创手术、乳突根治术、外耳道肿瘤切除术、耳鼻畸形矫正及美容缝合、耳前瘘管切除术、鼻内镜下鼻窦开放、鼻息肉摘除、鼻中隔矫正、鼻腔鼻窦-鼻颅底良性肿瘤切除、泪前隐窝进路鼻腔鼻窦良恶性肿瘤切除、扁桃体切除、内镜下腺样体切除术、支撑喉镜下声带息肉摘除、会厌囊肿切除、咽喉肿瘤切除术及鼾症的改良UPPP手术。